Artículos
La enfermedad de Glässer: Haemophilus parasuis
30 December 2015En el sector veterinario, la enfermedad de Glässer es un proceso patogénico frecuente que conduce a pérdidas económicas considerables. Esta enfermedad es causada por Haemophilus parasuis.

Tesis doctoral presentada por Bernardo Bello Ortí: "Interacciones huésped-patógeno de Haemophilus parasuis en el tracto respiratorio", en CReSA IRTA, España.
Aunque se ha llevado a cabo un esfuerzo importante hacia la comprensión de los factores que intervienen en la evolución de la enfermedad, la falta de completa protección de las vacunas comerciales sugieren que debe dirigirse más trabajo hacia el estudio de este proceso patogénico.
Para aumentar el conocimiento en patogénesis desarrollamos una serie de experimentos. Es bien sabido que existen diferentes cepas de H. parasuis, desde no virulentas a altamente virulentas.
Ciertos mecanismos patogénicos se atribuyen a la virulencia de algunas cepas, mientras que las cepas no virulentas solamente colonizan el tracto respiratorio superior y no son capaces de causar enfermedad. Estos diferentes grados de virulencia podrían ser apreciados durante los primeros pasos de la infección.
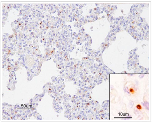
De este modo, usando muestras de las vías respiratorias de lechones infectados con dos cepas virulentas (Nagasaki y IT29755) y dos cepas no virulentas (SW114 y F9), se desarrollaron métodos de inmunohistoquímica e inmunofluorescencia, así como una doble tinción de H. parasuis y macrófagos/neutrófilos. Nuestros resultados revelaron que las cepas virulentas de H. parasuis estaban presentes en cornete nasal, tráquea y pulmón.
Detalles adicionales mostraron que las cepas virulentas de H. parasuis no solo se asociaron a macrófagos y neutrófilos del pulmón, sino también a células tipo neumocitos. Por lo tanto, las cepas virulentas de H. parasuis fueron capaces de adherirse al epitelio de las vías respiratorias, invadir y diseminarse en el huésped. Por el contrario, las cepas no virulentas apenas se detectan en el tracto respiratorio.
La cepa virulenta Nagasaki mostró patrones de biofilm en tráquea, que nos hizo cuestionar el papel de la formación de biofilm en la infección. Dado que la literatura publicada anteriormente indicaba que la formación de biofilm se presentaba principalmente en cepas no virulentas, se realizó una investigación adicional en esta dirección para comparar la formación de biofilm en cepas virulentas y no virulentas de H. parasuis.
Nuestros resultados confirmaron que la capacidad de formar biofilm in vitro se presenta principalmente en cepas no virulentas. Por tanto, se secuenció el transcriptoma de la cepa no virulenta F9 durante su crecimiento en biofilm utilizando un modelo in vitro. Los resultados sugieren que bajo condiciones de biofilm, H. parasuis muestra un metabolismo reducido, demostrado por el perfil de expresión génica. Además, algunos de los genes inducidos en condiciones de biofilm eran específicos de las cepas no virulentas, como la hemaglutinina filamentosa fhaB, previamente asociada a la formación de biofilm en otras bacterias.
Finalmente, la observación de cepas virulentas de H. parasuis en pulmón durante la infección motivó la secuenciación del transcriptoma de una cepa patógena en esta ubicación. Se determinó la expresión génica después de una infección corta in vivo y tras la inoculación de pulmón ex vivo. Los resultados mostraron tendencias comunes en la expresión génica de H. parasuis bajo infección pulmonar in vivo y ex vivo, como la reducción del metabolismo y la expresión de genes implicados en la adquisición de nutrientes, lo que podría indicar una estrategia de supervivencia en estas condiciones.
Durante la infección pulmonar también se detectaron genes únicos de cepas virulentas de H. parasuis que codifican para proteínas de membrana externa. Estos genes requerirán una mayor caracterización como factores de virulencia, pudiendo ser también útiles para desarrollar nuevos antibióticos y vacunas. Nuestros resultados también apoyan el uso de explantes de pulmón como modelo para estudios de patogenicidad de otras bacterias respiratorias.
También le interesaría
Secuenciados los genes de Haemophilus parasuis
Diciembre 2015
